365英国(集团)官方网站 - 英国上市公司
学院首页
学院概况
学院简介
学院领导
党建工作
基层组织
党建活动
人才培养
导师简介
教学管理
教育教学
教学动态
科学研究
科研活动
科研成果
学工动态
学工动态
学生管理
奖助贷勤
招生就业
校友专栏
心理健康
规章制度
团委工作
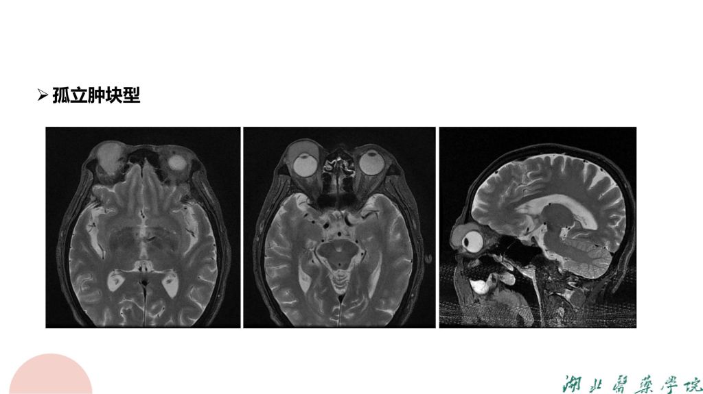
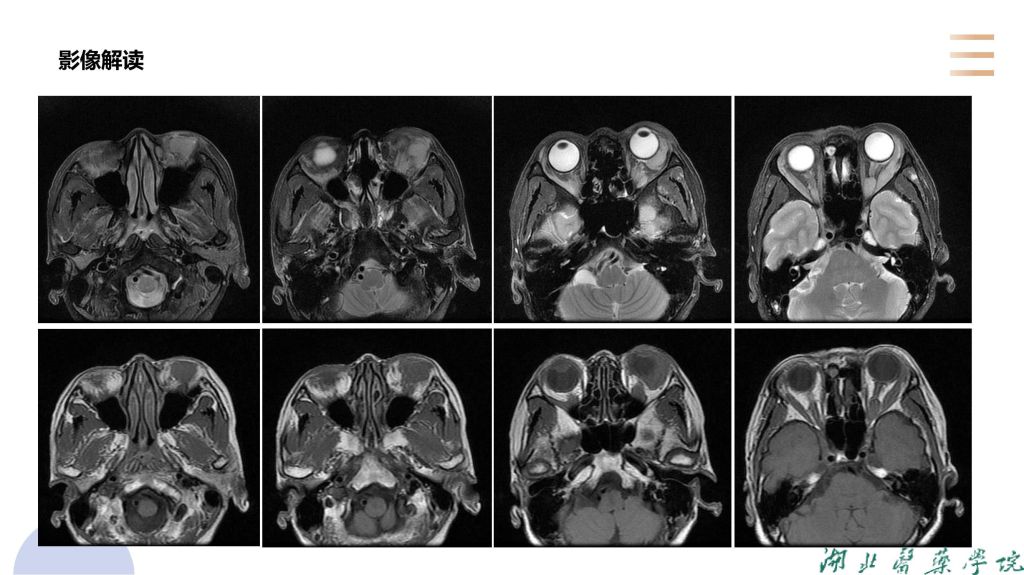
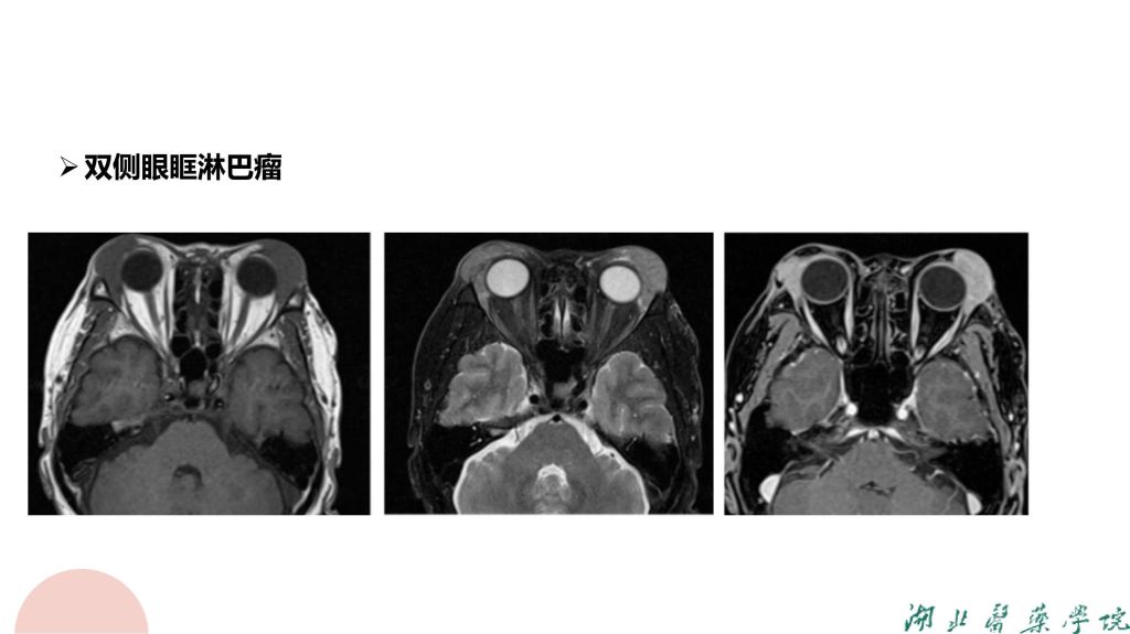
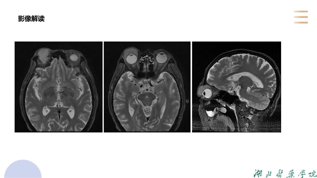
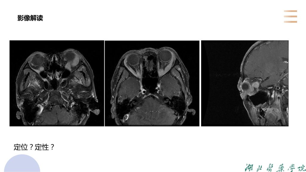
病例分析-眼眶淋巴瘤
发布者:系统管理员
发布时间:2024-06-15
浏览次数:
30
次
版权所有:365英国(集团)官方网站 - 英国上市公司 鄂ICP05003342号
电话:0719-8873091 地址:湖北省十堰市人民南路30号 邮箱:442000